近日,67岁患者张某(化名)携家属给我院心内科和老年病科送来两面锦旗和感谢信......承载着对我院专业技术及优质服务最真挚的认可与信赖。
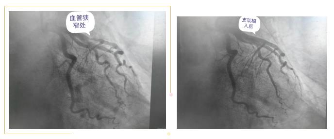
原来前一段时间,张某因“发作性胸闷”入住我院开发区老年科,伴有其他疾病史。住院期间,患者反复发作胸闷,伴大汗淋漓,持续数分钟可缓解,复查心电图较入院时无明显动态改变,心梗三项正常,考虑为心绞痛发作,我院心内科胡友斌主任建议完善冠脉造影检查明确心脏血管情况。但患者同时出现咳嗽发热,考虑存在感染,老年科黄帅娟主任及时调整治疗方案,及时加用抗感染治疗,体温及时得到控制。为减少病人办理转科的繁琐手续,心内科胡主任与老年科黄主任商议后,直接在原科室行冠脉造影手术,充分体现了院内多学科协同合作。冠脉造影提示前降支近中段可见斑块形成,最重狭窄99%,与患者及家属商议后于前降支病变处植入支架一枚。术后患者症状明显缓解,未再发作胸闷。心内科医生及时调整支架术后相关药物,嘱患者按时服药,后续患者病情平稳出院。

近年来,我院实行高效协作的MDT模式,加强多学科联合诊疗,以整合医疗资源,提升诊疗效率为宗旨,不断提升疾病综合救治能力和患者医疗服务舒适性。
小科普:
冠心病心绞痛是冠状动脉粥样硬化导致心肌供血不足,引发心肌缺血缺氧的临床症状。其发作具有典型特征,处理需结合急性期应对与长期管理。
一、心绞痛的典型症状与识别
心绞痛发作时,疼痛主要位于胸骨后,可放射至心前区、左肩、左上肢内侧、颈部或下颌。疼痛性质多为压榨性、闷痛或紧绷感,常由体力活动、情绪激动、寒冷刺激等诱发。发作持续时间通常为3-5分钟,很少超过半小时。若疼痛持续不缓解或超过30分钟,需警惕心肌梗死等严重事件。
二、急性发作时的处理措施
立即休息 :停止活动,保持平卧或坐位,以减轻心脏负荷。
药物缓解 :舌下含服硝酸甘油片0.3-0.6毫克,1-2分钟起效,作用持续约30分钟。若5分钟后症状未缓解,可再次含服一片;若连续含服3片仍无效,需立即急诊。
避免诱因 :保持情绪稳定,避免紧张波动;戒烟限酒,避免过饱饮食或寒冷刺激。
三、诊断与长期管理
就医检查 :发作时需进行心电图检查,金标准为冠状动脉造影。其他检查包括心脏彩超、动态心电图等,以评估冠状动脉狭窄程度和心肌缺血情况。
药物治疗 :
抗血小板药物 :如阿司匹林、氯吡格雷,预防血栓形成。
降脂药物 :如他汀类药物,稳定斑块、降低血脂。
β受体阻滞剂 :如美托洛尔,减慢心率、降低心肌耗氧量。
硝酸酯类药物 :如单硝酸异山梨醇酯,用于长期预防心绞痛发作。
手术治疗 :若药物治疗效果不佳或冠状动脉狭窄严重,可考虑经皮冠状动脉介入治疗(PCI)或冠状动脉旁路移植术(CABG)。
生活方式调整 :
饮食清淡,多摄入蔬菜水果,限制高胆固醇食物(如动物肝脏、蛋黄)。
适量运动,以不诱发心绞痛为度,避免剧烈活动。
控制体重,戒烟限酒,保持规律作息。
四、风险预防与注意事项
频繁发作的心绞痛可能增加心肌梗死、心力衰竭等风险患者需定期复查,监测血压、心率及血脂水平。若出现疼痛加剧、呼吸困难、晕厥等症状,需立即就医。日常避免过度劳累和精神压力,以降低发作频率。

苏公网安备 32120402000377号