席 峰/副主任中医师
急诊医学科及重症医学科科主任
泰州市急诊专业委员会委员,江苏省针灸学会青年研究专业委员会委员,江苏省中医药学会急症专业委员会青年委员,江苏省中西医结合重症专业委员会委员,从事急危重症救治工作十余年。近年来发表相关文章数篇,核心期刊2篇,参与编著两本。
在医院的急诊医学科及重症医学科,时间就是生命,每一秒的延误都可能关乎生死。泰州市姜堰中医院席峰主任用他的专业、冷静与奉献,守护着这条至关重要的生命线。
专业引领,打造高效急救团队
急诊科作为医院对外窗口与急危重症的前沿阵地,其高效运转离不开学科带头人的统筹管理。我院当前实行院前-急诊-重症一体化管理,信息及病情实时交换、分享,为患者第一时间救治提供保障。席峰作为这一特殊科室的领导者,肩负着医疗质量、团队建设、资源调配和应急响应的多重职责,是保障急诊救治“生命通道”畅通的关键角色。在他的带领下,从患者入院到就诊处置,多学科治疗团队确保在最短时间内为患者提供最有效的治疗。近年来,我院急诊科抢救成功率显著提升,赢得了患者和家属的广泛信任。
周一早上7:40,刚交完班120急送一消化道大出血患者至抢救室。患者既往有胃肿瘤手术史,长期服用阿司匹林等药物,入科后席主任在立即予以开放静脉通路、完善相关辅助检查后,考虑患者重度贫血、失血性休克,与家属沟通后转重症医学科进一步抢救治疗。

9:50,消化道出血患者刚刚转至ICU,外市东台120送来一重型多发伤患者,入科时患者全身血迹污染,双瞳散大,生命体征不平稳,急查头颅+胸腹部CT示:严重气颅、脑疝、硬膜下血肿,脑挫伤。席主任立刻启动创伤团队,急诊手术治疗,术后送至ICU进一步诊治,目前患者生命体征趋于平稳。

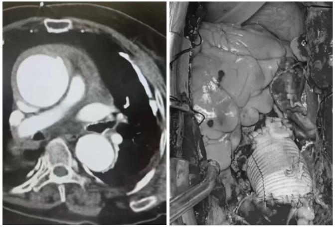
10:30,80岁的高龄患者拜某某,因突发意识障碍20分钟,由120送至我院急诊,入科后予以完善相关辅助检查,急查心电图示:窦速。血气分析示:酸中毒,高血糖,电解质紊乱。抢救过程中患者出现双侧血压下降,意识障碍,抢救团队立即密切配合完善头颅+胸部+腹部CT:考虑升主动脉瘤破裂伴心包填塞。病情凶险,随时存在生命危险,席主任立即调集120团队并及时联系上级医院团队紧急手术治疗,在所有人的努力下患者转危为安。
从凌晨到深夜,急诊科从不“打烊”。无论是深夜的急救,还是清晨的查房,每一刻的坚守都是对生命的敬畏与承诺。在紧张的急救工作中,席峰主任始终不忘人文关怀。他深知患者和家属在急诊时的焦虑与无助,因此总是耐心倾听他们的诉求,用温暖的话语给予安慰。他倡导的“急救+心理支持”模式,让患者在得到及时救治的同时,感受到医院的温暖与关怀。
社会责任,践行医者使命
除了日常工作,席峰还利用休息时间带领科室团队积极参与社会急救知识的普及工作,走进社区、学校和企业,开展急救培训和健康讲座。他希望通过自己的努力,增强公众的急救意识和技能,让更多人能够在关键时刻伸出援手,挽救生命。
从晨曦微露到夜色深沉,席峰和他的团队始终坚守在生命的第一道防线上。在他的带领下,急诊医学科及重症医学科团队正以更加高效、精准和温暖的服务,守护着每一个生命。当前急诊科年完成急诊约100000人次,抢救人次2000人次,急诊病房出院约800人次,重症监护出院约300人次。他们用双手托举希望,用专业驱散死神阴影,在没有硝烟的战场上书写着医者仁心。

苏公网安备 32120402000377号